Qué es la toxoplasmosis y cómo prevenir efectos graves de la enfermedad
La encargada del consultorio de Admisión de Pacientes del Instituto de Maternidad “Nuestra Señora de las Mercedes”, Adriana Cáceres Blasco, habló sobre la patología que tradicionalmente se relacionaba con el contacto de la paciente embarazada con gatos, derribó mitos y ponderó la importancia de llevar adelante controles tempranos para evitar consecuencias graves en la madre y el feto.
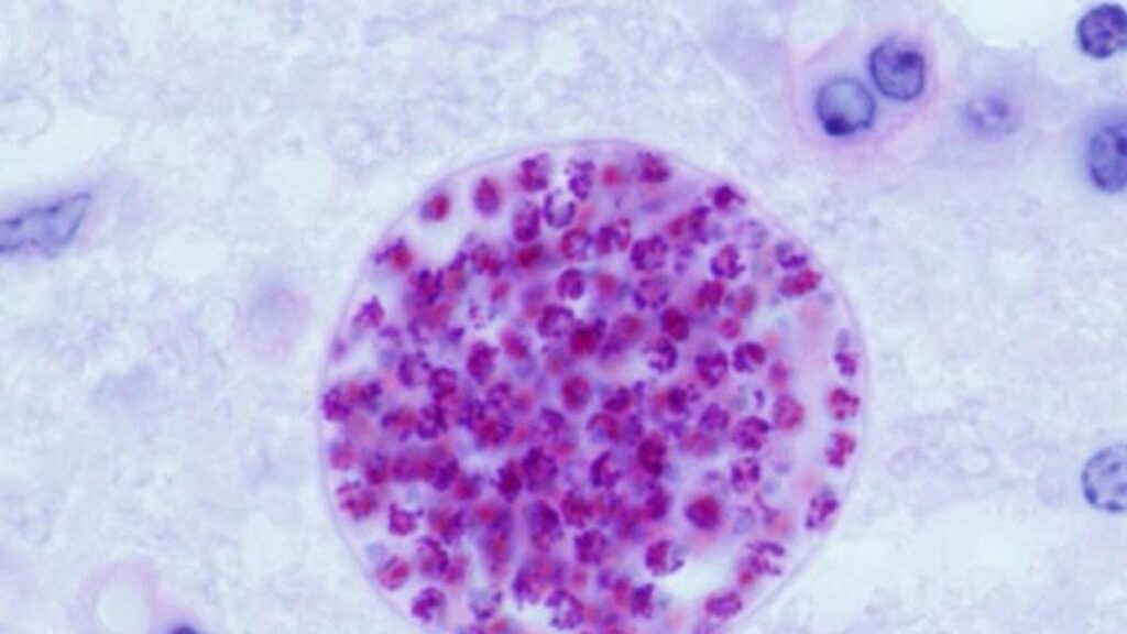
La toxoplasmosis es una enfermedad parasitaria que puede ser aguda-reciente- o crónica- diagnosticada o no diagnosticada-. En el embarazo se solicita en la primera entrevista con la paciente un perfil de análisis de rutina básicos para detectar la patología, junto con un estudio para Chagas, detección de enfermedades de transmisión sexual, niveles de glucemia y perfil tiroideo.
Respecto a la toxoplasmosis la especialista sostuvo que lo ideal es proceder a su detección en el primer trimestre, cuando se realiza el screening para descartar todo tipo de enfermedades y en el caso de que tuviera la afección en cuestión, se inicia tratamiento, ya que es una enfermedad que puede afectar a la mamá y al feto y generar múltiples consecuencias como abortos recurrentes o malformaciones congénitas.
“Es una patología que requiere de su detección temprana en el embarazo, puede comprometer periodos muy vitales, por eso puede producir malformaciones. No es lo mismo que afecte el primer trimestre cuando se están formando los órganos, a que intervenga en un último trimestre en el cuál el niño ya tiene desarrolladas las partes más vitales”, afirmó la profesional.
Si el análisis de la embarazada diera positivo para toxoplasmosis se le asigna inmediatamente un turno para el consultorio de infectología, encargado de manera específica de tratar a la paciente a través de un equipo multidisciplinario.
En lo que tiene que ver con el tratamiento de la patología Cáceres Blasco sostiene que se trata de una medicación altamente eficaz con la que cuenta la institución de manera gratuita, en caso de que la paciente no contara con los recursos para acceder a ella, y que manifiesta muy buena tolerancia y resultados cuánto más tempranamente sea indicado.
Esta es una enfermedad que debe ser monitoreada en controles ya que no solo hay que controlar el crecimiento y desarrollo del feto, sino que también afecta la salud de la madre. La toxoplasmosis se genera a través de un parásito que tiene la capacidad de sobrevivir en el ambiente por mucho tiempo, puede estar en la tierra, en la casa en sillones, es una enfermedad que se solía asociar únicamente a los gatos y en realidad se puede adquirir de varias maneras.
“Si bien es cierto que es una zoonosis y que el gato es el principal excretor en su materia fecal de estas formas parasitarias, junto a aves y a otros animales de granja, las mismas por la volatilidad de sus esporas permanecen mucho tiempo en el aire y por eso no podemos hablar de una causa directa. La práctica de jardinería si no se realiza con guantes y un correcto lavado de manos posterior, puede ser una vía de transmisión también”, sostuvo.
Los vegetales mal lavados pueden ser también un punto de origen o contagio ya que pueden estar contaminados por medio de los sistemas de riego. “La idea no es generar miedo, sino conciencia, sería fundamental que las personas a cargo de la cadena de producción alimentaria, hogareña y comercial, también se instruyan sobre esta patología y muchas otras y los riesgos que representan si los alimentos no son conservados e higienizados de manera adecuada”, reflexionó.




Deja tu comentario